Skip Menu
Continue
  • 90 Route 6A,
  • Suite 2,
  • Sandwich, MA 02563
  • Home
  • About Us
    • Our Office
    • Smile Gallery
    • Dental Videos
  • Meet Dr. Peterman
    • John L. Peterman, DMD
  • Services
      • Crowns & Caps
      • Dental Bridges
      • Dental Fillings
      • Dentures
      • Extractions
      • Implant Dentistry
      • Oral Exams
      • Pediatric Dentistry
      • Periodontal Treatment
      • Preventive Program
      • Teeth Whitening
      • Veneers
    • View All
  • New Patient Forms
  • Reviews
  • Contact
    • Contact Us
    • Request Appointment

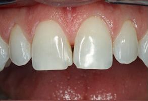
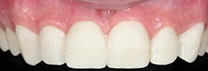
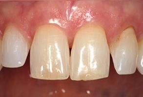
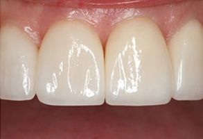
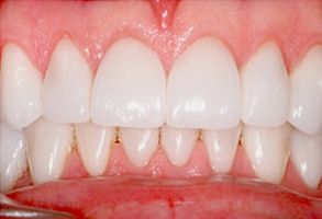
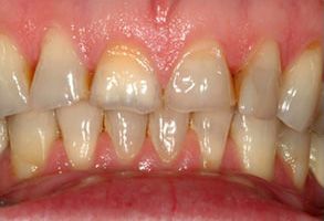
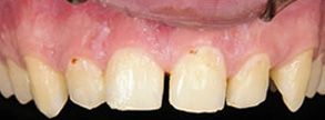
Smile Gallery

Additional Information

Our Location

90 Route 6A
Suite 2
Sandwich, MA 02563
(508) 888-4001

Follow Us